- A+
意大利早在去年10月11月间就有社区传播;法国去年12月爆发疫情;美国一市长称去年11月感染新冠,最早疫情新闻是去年6月底。所以,新冠病毒的真正源头到底在哪里?
网络上总有一股力量妄图阻止挖出真相,总是对病毒来自美国这一推断的文章进行恶意组团投诉,到底是哪些人宁愿自污也不愿意相信美国才是病毒源头?
一、新冠病毒2019年12月底已在法国传播
医学期刊《国际抗菌剂杂志》网站显示,法国巴黎东北郊塞纳-圣但尼医院集团主持撰写的短篇通讯论文已于5月3日上线发表,其标题为《新冠病毒2019年12月底已在法国传播》。
5月3日晚,法国BFM电视台惊爆新冠病毒于去年12月27日就已经在法国出现。
在采访节目中,科恩教授是巴黎近郊阿维森纳医院集团复苏科主任,他和巴黎近郊邦迪市的让·韦尔迪尔教授接受BFM电视台的邀请来到访谈节目。
他俩一致确认,在法国,新冠病毒的最初痕迹,可以追溯到去年12月27日,比法国今年一月底发现的第一批官方病例提前了差不多一个月。
当时所有肺炎患者的PCR测试都在12月和1月进行,结果均呈阴性。 然而,PCR试剂并不是针对新冠病毒,而是针对流感和其他冠状病毒。
伊夫·科恩解释道,几周前他们对之前测试物进行COVID19(新冠病毒)测试,发现该患者的测试结果跟新冠病毒的表现匹配。
在让·韦尔迪尔教授医院里诊疗的24名患者中,现在发现有一名男性患者最晚在在12月27日就已经感染了新冠病毒。
在确保已多次进行测试以“消除风险”之后,他们再次展开调查,希望查明最初的感染情况。
伊夫·科恩跟这位患者通了电话,得知他生病状况和现在流行的新冠病毒感染患者非常相似,他生病时间持续了15天,差点死掉,幸好渡过了难关,但是后来把两个孩子都感染了。不过孩子还好,症状比较轻,很快恢复了。比较令人奇怪的是,他的妻子竟然没有被感染。
这两位教授很好奇,后来继续调查发现这位患者夫妻在一家超市的鱼摊上工作。经过详细调查,发现只接触到法国生产的鱼类,并无出国经历,也没有其他人员接触。难道病毒是鱼类带来的?
法国的这例最早记录病例,直接把时间推到了更早。
所以,欧洲的病毒到底来自哪里?当然不是来自中国我们现在需要的是,如何把这些研究进一步形成证据链。

论文显示,研究人员选取了14个在2019年12月2日到2020年1月16日期间因类流感疾病(ILI)入住重症监护室的病例,并将其鼻咽拭子从零下80摄氏度的冷藏环境中取出,于今年4月6日到4月9日重新进行新冠病毒核酸检测。研究人员此番发现,一名42岁男子的样本新冠病毒检测呈阳性。

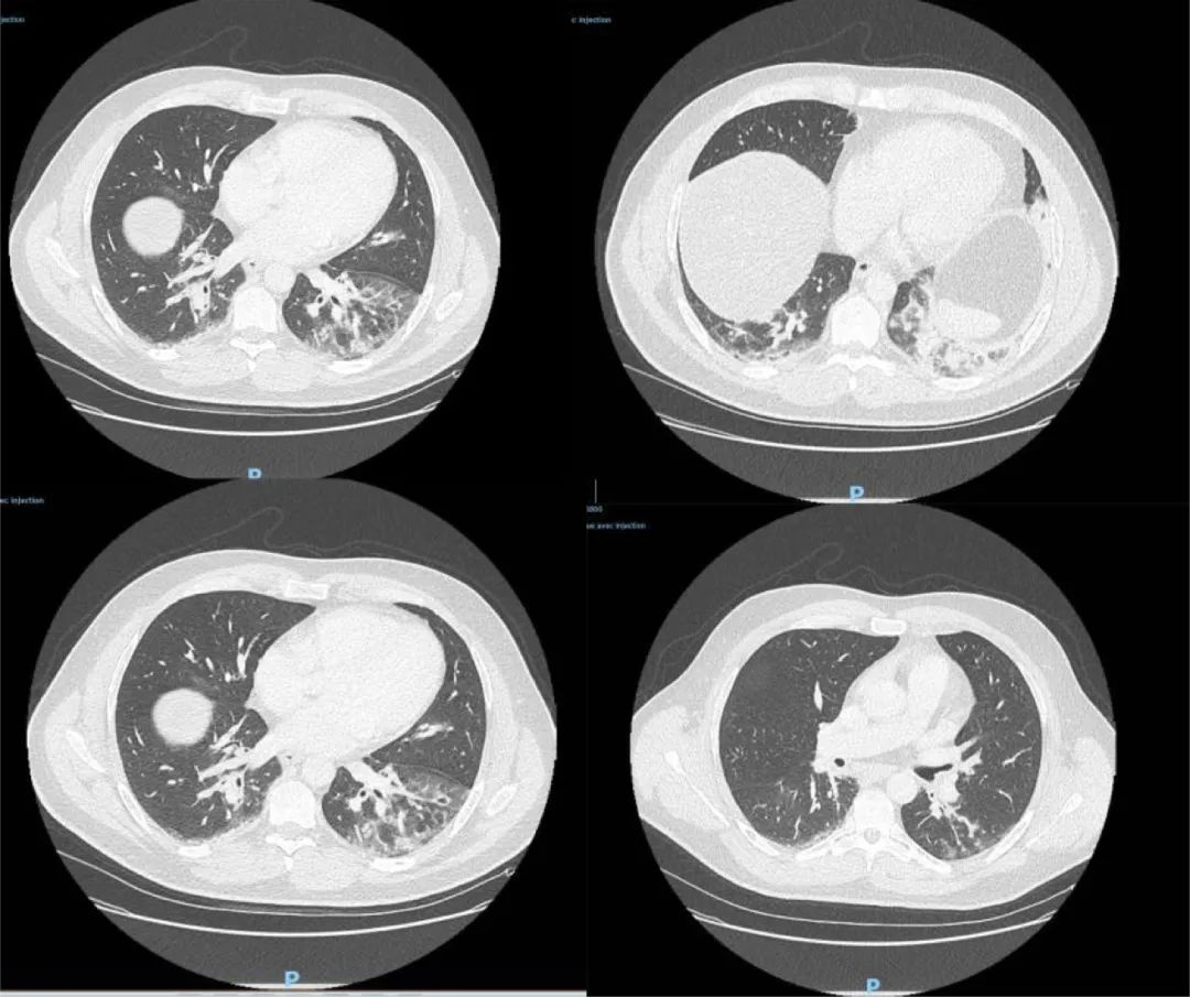
该男子职业为鱼贩,最近一次旅行是在2019年8月前往阿尔及利亚。他于去年12月27日到急诊室就医,CT检查显示双侧肺下叶呈现磨玻璃影,并伴有咯血、咳嗽、头痛及发热症状,且当时症状已持续4天。病患当天被收入重症监护室并进行治疗。

△图为病患CT检测影像
病例发病前无临近旅行史 与中国无关联
论文指出,由于这一病例与中国缺乏关联,并且在发病前没有临近旅行史,这表明新冠病毒2019年12月底已在法国人当中传播,比2020年1月24日官方首次确诊病例早了近1个月。由此也可推测,在2020年1月期间法国或存在大量无症状感染者,他们造成了病毒的进一步扩散。
巴斯德研究所对在1月24日至3月24日间采集的97份法国新冠病毒样本进行了基因测序和比对,同时与全球共享流感数据倡议组织发布的338份病毒基因序列进行对比分析,建立了病毒进化树图谱。通过对比研究发现,法国流行的新冠病毒来自于在本土已经流传的某个病毒的进化枝。
论文还称,这一发现改变了对于法国新冠肺炎疫情发展的认知,此前相应的研究模型需要就此作出调整。
二、多国新冠病毒最早感染时间提前,源头到底在哪?
当地时间5月4日,加拿大及英国皇家内科学院院士、抗击新冠病毒加拿大医学专家协调委员会主任关玉莲在接受媒体采访时表示,美国最早的感染时间或在去年10月。当地时间5月3日,法国巴黎北部塞纳-圣但尼省两家医院的危重症科室负责人伊夫·科恩(Yves Cohen)表示,法国至少在去年12月底就已出现新冠肺炎确诊病例。
日前,除了法国以外,美国、意大利等国均有专家指出,新冠病毒感染病例发现时间又有提前。
美国:最早感染时间或在去年10月
当地时间5月4日,加拿大及英国皇家内科学院院士、抗击新冠病毒加拿大医学专家协调委员会主任关玉莲在接受媒体采访时表示,美国最早的感染时间或在去年10月。
美国加利福尼亚州北部圣克拉拉县有官员在当地时间4月21日透露,近日验尸官解剖的三具遗体,生前皆出现过流感样症状,分别于2月6日、2月17日、3月6日在家中死亡,解剖发现这三名死者均感染了新冠病毒。该地公共卫生官员萨拉·科迪(Sara Cody)表示,此次三名死者遗体解剖结果说明,他们死亡时,当地据信已经发生大范围的社区传播。
《华盛顿邮报》引述当地卫生负责人的表态报道称,“加利福尼亚这三名死于新冠病毒的病人都没有去过中国。”调查发现,美国新冠疫情发生的时间远远早于官方公布的时间。当地卫生部门负责人表示,如果新冠病毒的潜伏期是三到四周的话,美国西海岸的传染链从1月初或1月中旬就开始了,而不是官方公布的第一例死亡病人的2月29日。
美国一市长承认去年11月就已感染新冠病毒

意大利:去年10月医生就看到了这种病毒
在目前全球确诊数量居第三位的意大利,有医生称“10月、11月、12月就看到了这种病毒。”意大利知名医学专家朱塞佩·雷穆齐(Giuseppe Remuzzi)说,最早一些家庭医生就细心地发现,他们接触到的重症肺炎,跟普通流感不同。他们在10月、11月、12月就看到了这种病毒,因此这种病毒已经存在了很长时间。“这意味着在我们知道中国的疫情暴发之前,病毒至少就已经在意大利的伦巴第北部地区播起来了。”
据意大利安莎社3月25日报道,在伦巴第大区卫生局协调下,14家研究中心在学术论文平台ArXiv上联合发表的论文显示,新型冠状病毒早在2020年1月1日就开始在伦巴第大区流行。英国《自然》杂志在其网站上评论称,新冠肺炎疫情在被发现前已在意大利发展了数个星期。也就是说,2019年12月新冠病毒就已在意大利“活跃”。
3月17日,科学杂志《自然医学》也发表了一篇研究新冠病毒的起源的论文《The proximal origin of SARS-CoV-2》。作者之一的杜兰大学医学院教授罗伯特·加里表示,许多人认为该病毒起源于中国武汉的一个海鲜市场,这可能是个误解。“我们的分析以及其他一些分析都指向了比那更早的起源。”“武汉那个市场肯定有一些病例,但不是该病毒的源头。”





- 关于斯大林的读书笔记与再反思(二十八)瓜分波兰与苏芬战争
- 关于斯大林的读书笔记与再反思(二十七)“大清洗”与犹太人的关系
- 为什么我们开始享受把手机调成静音,却害怕突如其来的门铃声?
- 三十年后,中国还有多少人口?
- 微信号提示登陆环境异常被封,解封时竟要三重验证,腾讯这波操作令人作呕!
- 从荒野求生冠军到战争阴影下的生存者:70天瘦31斤背后的残酷启示
- 今日头条“首发激励”功能是鸡贼更是鸡肋!
- 关于斯大林的读书笔记与再反思(二十六)“大平反”的逻辑问题
- “大汉丞相”被封,为民发声的人一个个走了
- 关于斯大林的读书笔记与再反思(二十四)大清洗与南北战争




